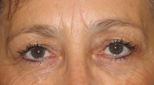
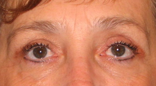
Eyelid surgery (blepharoplasty) can result in overall improvement of the entire facial aesthetic. To see more before-and-after photos, or to schedule a consultation with our plastic surgeon, please contact Dr. Tiffany McCormack.