Clinical Research Study for Patients with Capsular Contracture in Reno Tahoe

Case Details:

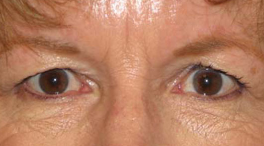
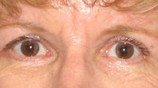
Eyelid surgery (blepharoplasty) can result in overall improvement of the entire facial aesthetic. To see more before-and-after photos, or to schedule a consultation with our plastic surgeon, please contact Dr. Tiffany McCormack.

Before
Before
After
After
Request an Appointment
Let’s Connect