Skip to main content
Vote Plastic Surgery Reno Tahoe ‘Best of Reno’!
– Support us in the Reno Gazette Journal’s Awards
En Espanol
Menu
About
M Spa
Book A Consult
Plastic Surgery Reno Tahoe
Patient Portal
Shop Skin Care
775.284.2020
Home
Our Practice
Our Practice Overview
Meet Dr. Tiffany McCormack, MD, FACS
Meet Dr. Nichole Joslyn, MD
Philosophy
Meet Our Staff
Our On-Site Surgical Facility
Patient Reviews
VECTRA
®
3D Imaging
VISIA
®
Skin Analysis
Our Blog
Video Library
News Room
Services
Breast Surgery
Breast Surgery Overview
Breast Augmentation
Breast Lift
Breast Implants
Breast Lift with Implants
Breast Reduction
Mommy Makeover
FTM and MTF Top Surgery
VECTRA
®
3D Imaging
Body Procedures
Body Procedures Overview
Abdominoplasty
Liposuction
Labiaplasty
CoolSculpting
®
Elite
Cellfina™
VECTRA
®
3D Imaging
Facial Plastic Surgery
Facial Plastic Surgery Overview
Facelift
Eyelid Lift
Laser Skin Resurfacing
Other Facial Procedures
VECTRA
®
3D Imaging
Post Bariatric Surgery
Post Bariatric Surgery Overview
Arm Lift
Thigh Lift
Breast Lift/Chest
Facial Rejuvenation
Mid-Body Procedures
For Men
Gynecomastia
M Spa
M Spa Overview
M Spa Offers + Specials
Shop Aesthetic Treatments
Fat Reduction & Body Sculpting
Fat Reduction & Body Sculpting Overview
CoolSculpting
®
Elite
CoolTone
®
Non-Surgical Muscle Toning
Physician-Supported Weight Management
Injectables
Injectables Overview
BOTOX
®
Cosmetic
Dysport
®
DAXXIFY
®
KYBELLA
®
AlloClae™
Injectable Dermal Fillers
Intro to Dermal Fillers
Sculptra
®
JUVÉDERM
Restylane
®
RADIESSE
®
RHA
®
Fillers by Revance Aesthetics
Light & Laser Treatments
Light & Laser Treatments Overview
Laser Skin Resurfacing
LaseMD™ Skin Rejuvenation
BBL™ Photorejuvenation
Laser Hair Removal
Vaginal Rejuvenation
Micropigmentation Tattooing with NUE Conceal
Skin Rejuvenation & Facial Treatments
Skin Rejuvenation & Facial Treatments Overview
HydraFacial
®
Genius™ Radiofrequency Microneedling
SkinPen
®
Facials, Peels, and More
VISIA
®
Skin Analysis
Skin Care
Skin Tightening & Cellulite Reduction Overview
Skin Tightening and Cellulite Reduction
Ultherapy
®
Cellfina™
Renuvion
®
Why Choose M Spa?
Patient Reviews
Photo Gallery
Photo Gallery
Video Gallery
Patient Resources
Patient Resources Overview
Financing
Patient Forms
Out-of-Town Patients
Virtual Consultation
Video Animations
Events
Special Offers
Memberships
Contact Us
Shop Skin Care
Shop Skin Care Products
Shop Aesthetic Treatments
SkinMedica
®
Online Store
ZO
®
Skin Health Online Store
ALASTIN Skincare
®
Online Store
Patient Portal
Book Your Consultation
En Espanol
Let’s Connect
Get Your
Special Offers
Redeem Offers
Join Our
Spa Membership
Join Now
5530 Kietzke Ln
Reno, NV 89511
775.284.2020
Before and After Gallery
Home
/
Gallery
/
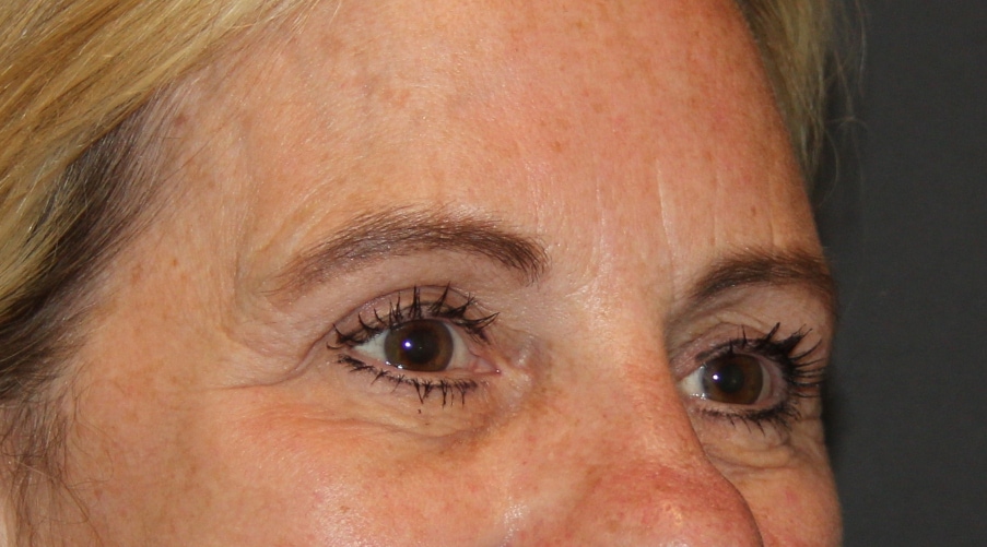
Blepharoplasty Gallery
/
Patient 24
Previous
Patient 24
Next
Before
After
Back to Blepharoplasty
5530 Kietzke Ln
Reno, NV 89511
Request an Appointment
Let’s Connect
Please ensure Javascript is enabled for purposes of
website accessibility